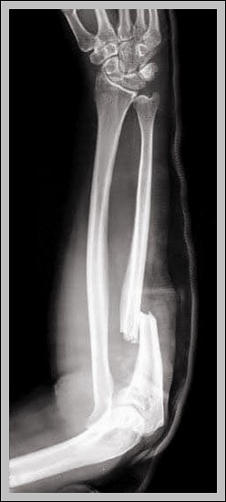
Monteggia fracture: proximal ulna fracture with radial head dislocation (anterior most common). Bado classification types I-IV; requires ORIF for ulna and radial head stability.

Monteggia Fracture of the Radius and Ulna Diagram
Posted inBones

Monteggia fracture: proximal ulna fracture with radial head dislocation (anterior most common). Bado classification types I-IV; requires ORIF for ulna and radial head stability.